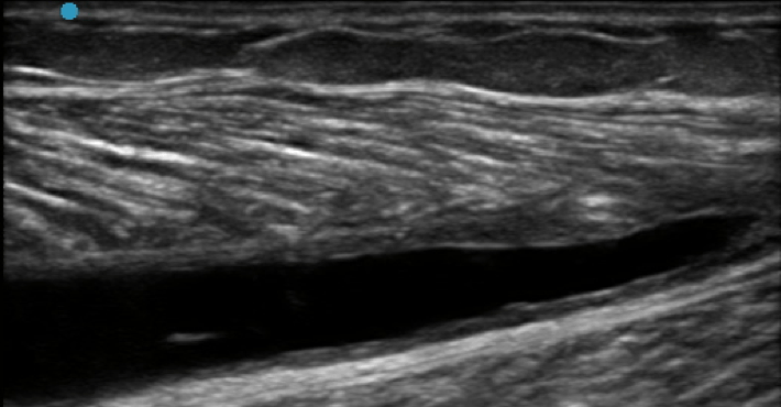
Rotura muscular gemelo medial, llamada TENNIS LEG


Tennis Leg con hematoma miofascial
El tiempo de recuperación es largo, suele oscilar entre las 6 semanas y algunos meses, dependiendo de la magnitud de la lesión. Sabemos también que por debajo de los 2 o 3 centímetros de rotura los tiempos de descanso o de baja deportiva se reducen casi a la mitad (entre dos y tres semanas). Sin embargo por encima de los tres centímetros ya se considera una rotura fibrilar, por lo que el proceso de recuperación completo no dura menos de cinco semanas. Dentro del tiempo de recuperación podemos distinguir diferentes fases, la duración de dichas fases serán variables dependiendo de la magnitud de la lesión, en este caso de los centímetros de rotura y si existe o no alguna otra lesión asociada.Fase aguda o inflamatoria (durante las primeras 72h):
- RICE: Reposo, hielo, compresión, elevación.
- Muchas veces es necesario que el paciente evite el apoyo de la extremidad durante los primeros días, ya que puede tener dolor y el hecho de evitar una carga excesiva ayudará a una recuperación más rápida.
- Toda ayuda para bajar la inflamación va a ser buena, por esto se recomienda la aplicación de hielo local, que consigue la vasoconstricción de los capilares y vasos rotos, reduciendo el sangrado y favoreciendo los procesos de reparación posteriores.
- Antiinflamatorios
- La compresión de la zona o uso de medias compresivas.
- La elevación de la pierna va a favorecer el riego sanguíneo.
- Empezar sesiones de fisioterapia con diatermia profunda (Indiba), pero sin masaje manual.
- También existen otras técnicas que va implantando la medicina, como los factores de crecimiento (PRP o plasma rico en plaquetas) o la Electrólisis ecoguiada los cuales suponen una herramienta bastante poderosa en las fases agudas de la lesión, ya que permite que la cicatrización sea mucho mejor, mucho más rápida y ayuda en el control del proceso.
Fase proliferativa ( a partir de las 72h si el paciente lo tolera):
- Es importante empezar con la movilización de la parte afectada, iniciando con ejercicios isométricos de diferentes amplitudes en los que se vaya aumentando de forma gradual la intensidad hasta llegar a la aparición de dolor.
- Uso de la diatermia profunda, podremos empezar a usar también el masaje para drenar, incluso se puede aprovechar para aplicar las dos técnicas a la vez.
- También podemos empezar a realizar ejercicios de estabilización lumbopèlvica, o lo que es lo mismo, del CORE, así como del resto del cuerpo incluyendo la pierna no afectada.
- Estiramientos activos del tríceps sural, sin dolor o con una molestia totalmente soportable.
- Trabajo en piscina.
Fase remodelación o maduración ( a partir de los 21 días donde empezamos a encontrar una cicatriz capaz ya de tolerar esfuerzos y algunas tracciones):
- Seguiremos con el uso de la diatermia profunda, y del masaje con drenaje aunque ahora ya le dedicaremos menos tiempo.
- Ejercicios de estabilización lumbopèlvica, y del resto del cuerpo incluyendo la pierna no afectada.
- Estiramientos activos del tríceps sural , sin dolor o con una molestia totalmente soportable.
- Empezaremos con el trabajo excéntrico para empezar a elastificar la cicatriz y el tejido afectado. Este trabajo lo iremos intensificando hasta que el paciente pueda soportar cargas altas, sin dolor.
Return to play:
- En el caso que el paciente quiera volver a su practica deportiva, el trabajo de loS readaptadores será prepararlo al máximo para que su gemelo pueda soportar la exigencia de su deporte sin ningún problema.